Qué es la hemorragia vítrea: síntomas, causas y tratamiento

La hemorragia vítrea es un sangrado que tiene lugar en el humor vítreo, una zona líquida y gelatinosa que se encuentra entre la superficie interna de la retina y la cara posterior del cristalino. Esto ocasiona anomalías repentinas en la visión.
Se estima que se presenta en 7 de cada 10 000 personas. También se le conoce con el nombre de hemovítreo y puede tener diferentes niveles de gravedad. A veces no requiere de tratamiento y en otras ocasiones demanda una cirugía.
La hemorragia vítrea a veces solo causa visión borrosa. Aunque también origina la aparición de manchas que flotan en el campo visual. En los casos más graves da lugar a la pérdida completa de la visión de forma intempestiva.
¿Qué es la hemorragia vítrea?
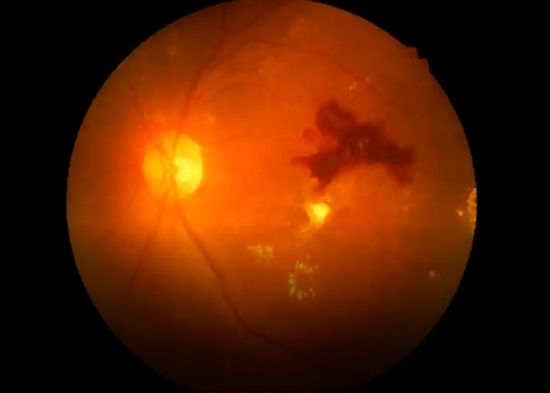
La hemorragia vítrea es la presencia de sangre en una cavidad del ojo que está llena de humor vítreo. Este último es un líquido compuesto de agua en un 99 %, más pequeñas cantidades de colágeno, ácido hialurónico, glucosa, sodio, potasio, cloro y proteínas.
El humor vítreo ocupa dos terceras partes del volumen total del ojo. Su apariencia es transparente y gelatinosa.
Cuando hay sangre, pierde su transparencia y esto dificulta la penetración de la luz. En consecuencia, se presentan alteraciones en la visión.
La hemorragia vítrea puede ser de dos tipos:
- Intravítrea: cuando el sangrado se presenta dentro de la cavidad vítrea, en el espacio en donde está el humor vítreo. Es el trastorno propiamente dicho.
- Retrovítrea o subhialoidea: cuando se produce en el espacio que hay entre el humor vítreo y la retina. Por lo general, se le cataloga en una categoría diferente a la hemorragia vítrea.
Síntomas
El síntoma característico de la hemorragia vítrea es la pérdida de agudeza visual en un solo ojo y sin dolor, que se presenta de manera repentina y se desarrolla al cabo de unos minutos. Según la intensidad del sangrado, habrá pérdida parcial o total de la visión normal.
En algunas ocasiones, las personas afectadas experimentan fotopsias, o sea, centelleos de luz o destellos luminosos. También se les conoce como fosfenos oculares.
Así mismo, es posible que se presenten miodesopsias, que son pequeñas formas oscuras que flotan en el campo visual. Suele llamárseles moscas volantes.
En los casos más graves, la hemorragia vítrea puede llegar a causar glaucoma. Esto se debe a la obstrucción con sangre de una vía natural de desagüe del ojo, llamada malla trabecular.
La pérdida de la visión en un solo ojo y de manera repentina es clásica de este cuadro clínico.
Causas de la hemorragia vítrea
La hemorragia vítrea obedece a muy diversas causas. La más habitual es la retinopatía diabética, una enfermedad ocular ocasionada por la diabetes.
Esta patología hace que crezcan vasos sanguíneos anormales en la retina. Los mismos se rompen con facilidad y llevan la sangre hasta la cavidad vítrea.
La retinopatía diabética proliferativa (que promueve el crecimiento de nuevos vasos sanguíneos anormales) es la causa de alrededor del 50 % de los casos de hemorragia vítrea. Las 5 causas siguientes de esta condición son las siguientes:
- Desprendimiento de la retina.
- Desprendimiento del vítreo posterior.
- Obstrucción de la vena central de la retina.
- Retinopatía hipertensiva.
- Retinosquisis congénita.
El 95 % de los casos espontáneos obedecen a estas causas. El 5 % restante puede ser originado por una inflamación (uveítis) o un tumor ocular. La hemorragia vítrea también puede ser ocasionada por un traumatismo o una cirugía en el ojo.
Diagnóstico
En principio, el diagnóstico de la hemorragia vítrea se realiza mediante una entrevista clínica y a través de un examen oftalmológico completo. En este se toma en cuenta el fondo del ojo y la agudeza visual.
Si el sangrado es muy extenso, es posible que se ordene una ecografía ocular con el propósito de descartar o confirmar un desprendimiento de retina. Así mismo, deben realizarse controles de la presión ocular para detectar un glaucoma.
En algunos casos, se lleva a cabo una radiografía o una tomografía axial computarizada (TAC). También es habitual que se efectúen análisis de sangre y que se examine el otro ojo.
Tratamiento de la hemorragia vítrea
El tratamiento para la hemorragia vítrea depende de la causa. Lo usual es que en principio se adopte una actitud expectante, es decir, que no se haga nada más que mantener a la persona en observación.
Muchos de estos casos remiten de forma espontánea 2 o 3 meses después del episodio.
Es posible que se recomienden medidas como las siguientes:
- Dormir con la cabeza elevada. Esto ayuda a reducir la acumulación de sangre en el ojo.
- No levantar objetos pesados ni hacer actividades extenuantes.
- Evitar el uso de aspirina y anticoagulantes.
- Concretar un ultrasonido de control cada 4 semanas.
Si el sangrado no se reabsorbe de forma espontánea o hay compromiso de la retina, es necesario realizar una cirugía llamada vitrectomía. Durante este procedimiento se retira todo el humor vítreo del ojo y se lo reemplaza con una solución de agua salada.
Si el sangrado es muy profuso, pero no hay compromiso de la retina, es posible que se acuda a un tratamiento con crioterapia o láser. Estos procedimientos contribuyen a detener el sangrado o a eliminar la sangre. Un método láser llamado fotocoagulación panretiniana previene el resangrado y la reproliferación en casos de retinopatía diabética.
Las cirugías no siempre se indican en esta patología. A veces basta con un control periódico.
¿Se puede prevenir?
La hemorragia vítrea no siempre se puede prevenir, pero sí hay algunas medidas que ayudan a disminuir el riesgo. Por ejemplo, visitar al oftalmólogo de forma regular, controlar el nivel de azúcar en la sangre si se tiene diabetes y proteger los ojos en actividades que puedan ponerlos en riesgo.
En caso de que se presenten los síntomas de una hemorragia vítrea, lo indicado es consultar con el médico lo más pronto posible. Si ya se ha diagnosticado esta condición, se debe permanecer atento a cualquier cambio y cumplir con los controles periódicos.